As of Tuesday, Jan. 7, the CDC has reported 2,602 confirmed and probable cases in all 50 states of severe acute respiratory distress syndrome associated with a recently inhaled drug aerosol (commonly known as vaping). As many as 57 deaths across 27 states may be directly or indirectly related to the seven-month-old injury series. Here’s what you need to know.
Should I stop vaping?
- If you own illicit vape cartridges, throw them away immediately. The CDC, FDA, and HHS advised consumers to avoid buying cannabis vapes or using products off the street. They are unregulated, untested, and are often contaminated.
- If you purchase any disposable vaporizer cartridge—either THC, nicotine, or CBD—and it’s filled with the wrong additive or contaminant, at the wrong amount, using it carries the risk of immediately injuring your lungs.
- More broadly, the American Medical Association said Sept. 9 to stop using any electronic drug-delivery system. They’re not federally regulated for purity. Many states are banning flavorings in legal e-cigarettes.
What is the suspected diagnosis?
- In many cases, symptoms and treatment mirror a condition called lipoid pneumonia, previously found in patients who inhaled mineral oil.
- Subsequent biopsies of 17 victims indicate “airway-centered chemical pneumonitis from one or more inhaled toxic substances rather than exogenous lipoid pneumonia as such, but the agents responsible remain unknown.”
- A third biopsy series looked similar to the first two, adding organizing pneumonia to the diagnosis cluster.

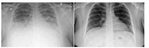
Sickened lungs show up as cloudy on the left X-ray, and clear after treatment of one suspected VAPI patient in Utah. (Courtesy University of Utah)
What’s causing it?
- The contamination is emanating out of the supply chain for illicit market THC vape carts, the CDC said Oct. 30. “The latest national and state findings suggest products containing THC, particularly those obtained off the street or from other informal sources (e.g. friends, family members, illicit dealers), are linked to most of the cases and play a major role in the outbreak.”
- There are multiple known contaminants in illicit vape carts that could cause lung injury. But on Nov. 8, the CDC announced a “very strong culprit of concern”—vitamin E oil, (aka tocopheryl-acetate). Lung fluid analyses of 29 victims from 10 states tested positive for the substance, “The samples,” said CDC Dr. Anne Schucat, “provided evidence of vitamin E acetate at the primary site of injury in the lungs. … “No other potential toxins were detected.”
- New York health authorities have confirmed that synthetic vitamin E (tocopheryl-acetate) is tainting most seized vape carts in that state. Utah officials concurred Oct. 25. Pen makers report using it because it’s a cheap thickener. The FDA is now specifically looking at tocopherols. New York has subpoenaed three thickener-makers—Floraplex, Honey Cut, and Mass Terpenes—after tests showed all three products were tocopheryl-acetate. On Sept. 13, SC Labs of California found Floraplex’s Uber Thick to be almost totally tocopheryl-acetate.
- The FDA has received about 900 samples for testing. So far, they’ve found vitamin E acetate in 47% of the 225 THC carts tested. The FDA is testing seized carts for THC, nicotine, cutting agents called diluents, additives, pesticides, opioids, poisons, and toxins. One New York patient who tested his cart found it contained formaldehyde, pesticide, vitamin E oil, and “a little dab of THC.” The California lab Cannasafe reports ten out of ten vape carts from California illicit stores tested positive for tocopheryl-acetate, some as high as 40%. FDA testing has confirmed tocopheryl-acetate cuts of 31% to 88%, the mean average is 50%.
- Health officials have confirmed that among the tainted carts are ones with the illicit market brand names Dank Vapes, TKO, Off White, Moon Rocks, Chronic Carts, and West Coast Carts, but the condition is linked to multiple illicit market brands across multiple states. One Tulare County, CA victim’s family member confirmed the presence of a “black and gold” cart labeled “Lucky Charms” from the brand “West Coast Cure”. (Matching that description is both counterfeit packaging and authentic packaging for a popular, illicit market brand in California called West Coast Cure.)
- Beyond unsafe additives, at least one woman may have suffered “cobalt lung” from heavy metal exposure via vaping.
Why vitamin E oil?
- As Leafly reported in early September, a new diluent known as Honey Cut entered the illicit vape cart market in late 2018. The product, which dilutes THC oil without thinning the viscosity, is manufactured by Honey Cut LLC registered to a Joshua Temple of Los Angeles. Officials at the terpene manufacturer True Terpenes, based in Portland, OR, told Leafly they tested Honey Cut earlier this year and found it to contain Vitamin E oil, aka tocopheryl-acetate. Two brands—Mr. Extractor of Oregon and Constance Therapeutics of California—told Leafly they’ve been selling forms of vitamin E oil into the vape cart market. Mr Extractor’s Drew Jones told Leafly he believes up to 40 companies sold a copycat oil, and the oil is in 60% of carts in the US. Lab tests have found the oil in multiple thickener products, including Peak Terpenes’ Thicc Stretch.
What are the symptoms?
- Anyone who has vaped a black market cart in recent days or weeks and subsequently developed shortness of breath, dizziness, nausea, weakness, and tiredness should see a physician. Bring the cart.
What are the latest numbers?
- This man-made mass poisoning event is akin to bathtub gin under alcohol prohibition. Prohibition states have ten times more VAPI per capita than legalization states. It is generally a creature of unlicensed markets where consumers have no legal alternative. It’s akin to recent Spice/K2 poisonings, as well as unregulated CBD market poisonings. The first reports came out of the prohibition state of Wisconsin, which has 103 hospitalized, and Kings County, CA, which has banned legal access to tested cannabis, alongside 60% of local cities and counties. California has 178 hospitalizations and four suspected deaths. Illinois has 214 hospitalized and five dead. New York reports 150 hospitalized and two deaths. Texas has 236 confirmed cases and three dead. Minnesota has 141 cases and three dead. Florida reports 110 hospitalized and a death.
- In contrast, Oregon has two suspected deaths and 18 suspected illnesses. Colorado has 11 suspected cases. The state of Washington may have 18 cases, with one allegedly linked to a store. California’s second and third suspected deaths occurred in Tulare County and Kings County, where purchasing tested, legal cannabis from a store is banned in all areas other than the city of Woodlake. The victim’s family said he was using illicit market THC cartridges. California officials said Oct. 23 that just one of the 79 victims interviewed so far reported exclusive use of tested vapes. California lab Anresco announced Oct. 28 that no tocopheryl-acetate has been found in tests of over 200 licensed cartridges. Of Ohio’s 17 confirmed cases, 90% are black market THC cart-related, and none are medical cannabis system-related.
- Injury rates appear to be on the decline since September, the CDC said Oct. 25. But tens of millions of tainted vape carts remain on the street.
Why is this happening now?
- Leafly has reported that a new ingredient—next-generation cutting agents (thickeners)—are being misused in THC vape carts. Legal chemical thickener makers said they do not approve of use in vape carts. Chemical thickener makers also do not approve of dilutions greater than 10%. However, their web sites are unclear about the products’ approved and unapproved uses. The chemical makers have no information on what inhaling thickener aerosol does to your lungs, especially if it is heated or burned.

An oil-laden immune cell extracted from a VAPI patient in Utah (left). On the right, a normal macrophage. Doctors have found lipid-laden macrophages in some but not all patients. Biopsies of 17 patients found “foamy macrophages and pneumocyte vacuolization” in all 17 samples. (Courtesy Andrew Hansen, Jordan Valley Medical Center)
How can I protect myself?
- Only buy tested, regulated adult-use and medical cannabis products in legal stores like California, Washington, Oregon, and Colorado. Licensed supply chains are much harder to contaminate. By contrast, street traffickers are filling carts with harmful chemicals, and they go straight into your lungs. Here’s how to spot an illicit market, or counterfeit THC vape cart.
- Though licensed markets have more safeguards, suspicious additives are not yet banned in California. Washington and Oregon banned tocopheryl acetate in vapes mid-November. Colorado intends to ban tocopheryl-acetate, MCT oil, and PEG this winter.
- Cheap illicit market vape carts also routinely malfunction. Malfunctioning carts can get very hot, and burn additives and thickeners, releasing an unknown noxious gas. Run them at low, controlled temperatures.
- If you’re concerned about additives in your cannabis, stick to tested flowers from licensed adult-use stores. Check store licenses on regulators’ websites, like California’s license lookup tool. In terms of extracts, additive-free extract is called “rosin”, and it also comes in vape carts in mature adult-use markets. There’s also tinctures, sublinguals, edibles, topicals, and transdermals, for those who want to avoid all cannabinoid inhalation products.
Leafly originally published this story Sept. 6. We updated it again Jan. 10 at 3:20 p.m. PST.





