On June 23, Canada’s cannabis regulatory agency, Health Canada, released a private document requested under the Access to Information Act (AIA), that country’s version of the US government’s Freedom of Information Act.
An alarming study of the vape additive phytol has rocked the cannabis vaping world.
The document in question was a 2020 safety study of the vape cartridge additive phytol. The study was conducted by Canopy Growth, one of Canada’s largest cannabis companies.
The data contained in that report has rocked the cannabis vaping world.
Phytol is a terpene that’s sometimes used to add flavor to vape cartridges, usually by adding it to a mix of cannabis oil and the common thinning agent propylene glycol.
The AIA request had been requested by David Heldreth, the former chief science officer of True Terpenes, a major phytol reseller. Heldreth’s friend Andrew Freedman, a Canadian citizen and vape expert, actually obtained the report.
CEO/founder of both Panacea Plant Sciences and Ziese Farms, Heldreth first grew concerned about phytol in August 2020 when Tokyo Smoke, the chain of Canadian cannabis stores owned by Canopy Growth, suddenly pulled all vape cartridges that contained phytol from its shelves.
Five months later, Heldreth became increasingly alarmed when the medical journal Inhalation Toxicology reported findings that indicated phytol was not as benign as propylene glycol. “Phytol, not propylene glycol, causes severe pulmonary injury…,” the study reported.
“I wouldn’t use a product that contains it.”
– David Heldreth, terpene scientist, regarding phytol
The Inhalation Toxicology article was based on research done by Canopy Growth scientists. The study sparked an alarming headline in the trade publication MJ Biz Daily: “Phytol cited as potentially dangerous cannabis vape ingredient.”
After filing an AIA request with Health Canada (which regulates cannabis nationwide), Heldreth finally received the full study in June of this year. Its contents floored him. The data was far worse than he imagined.
Phytol, according to the data in the study, appeared unsafe to inhale. When he spoke recently to Leafly, Heldreth made his opinion very clear: “I wouldn’t use a product that contains it.”
Why is phytol a concern?
Since the 2010s, humanity has engaged in a massive, uncontrolled field trial of electronic drug-delivery systems known as vaporizers.
“This is something we should be sounding the alarm on.”
– Kyle Boyar, KB Consultations
People young and old are experimenting with liquid chemical mixtures never found in nature, aerosolized by cheap electronic hardware and misted directly into the body’s sensitive lung tissue.
“The science is just so far behind,” Robert Strongin, professor of chemistry at Portland State University, recently told Leafly. “We’re all guinea pigs now.”
Shop highly rated dispensaries near you
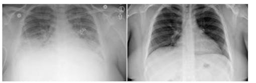
Showing you dispensaries nearIn 2019, simmering quality control issues with illicit THC vape pens boiled over into a public health crisis. Vape consumers across America fell sick with what became known as VAPI, or EVALI, a lung distress that injured 2,807 people and killed 68 of them over a period of about six months. Leafly’s investigative reporting helped expose the culprit: vitamin E acetate, which had been added to illicit vape cartridges to boost profits.


The vape lung crisis largely ended by February 2020, because consumers heeded media warnings, threw out their tainted vapes, and illicit pen factories stopped using heavy cuts of vitamin E acetate.
The Centers for Disease Control stated the number one thing state regulators should do to prevent future outbreaks was “ensure chemicals of concern didn’t enter the vapor supply.”
State regulators have not heeded the CDC’s advice. Few states have instituted any rules around the ingredients in cannabis or tobacco vape cartridges, aside from attempting to ban flavored carts—a move aimed at preventing minors from vaping, and not done out of concern for the health of adult vapers.
“It’s very risky, some of these ingredients,” said Strongin. “It’s just a shame we don’t know more about them.”
Given that cautionary experience with vape cartridge additives, Leafly asked experts to take a look at the raw phytol data from the Canopy study, and answer an urgent question: Is phytol safe to vape?
What is phytol?
Phytol is a diterpene alcohol that appears naturally in trace amounts in raw cannabis plants. It’s an aromatic plant oil, though it’s not a pleasant-smelling one. It can smell grassy in its natural state. Synthetic phytol, which is more commonly used in commercial applications, is odorless.
Outside the cannabis industry, phytol is used as a chemical in products like shampoos, household cleaners, and detergents.
In the cannabis industry (both legal and illicit), vape cartridge manufacturers can use phytol to dilute pure cannabis oil. It’s part of a class of cheap diluents that are most often used by vape cart makers in the illicit market, because illicit carts contain no lab-verified potency data on their labels.
Using phytol to cut cannabis oil in a state-licensed vape cart makes less economic sense, because licensed manufacturers are required to print their lab-verified THC levels on the cartridge package. Thus, a consumer can easily see that a cartridge thinned with phytol contains less THC than a competing product.

Phytol is not difficult to obtain. It’s a colorless or pale yellow liquid sold as a wholesale product to almost anyone who wants it on the internet. In fact, phytol is just a Google search away for anyone with a credit card and a delivery address. It sells for about $100 per liquid ounce, comparable to cannabis oil, but far more available. Phytol allows dealers to stretch their supply of THC oil further, experts said.
Dominic Black, lead account manager at Infinite Chemical Analysis Labs in San Diego, CA, explained, “For example, if someone has 50 liters of [cannabis] distillate and mixes it with 50 liters of phytol, they now have 100 liters of product to sell.”
In illicit markets, where lab-verified THC potency isn’t required, consumers don’t know they’re getting a diluted product—and one that may harm their lungs.
What did the Canopy Growth study find?
The Canopy report determined that certain levels of phytol inhalation hurt lung tissue in lab rats, and did not locate levels of exposure that could be deemed safe.
Results were so alarming that researchers ended the 14-day study after only two days.
A Canopy spokesperson said the company originally commissioned the study as part of its due diligence responsibility as a cannabis vape cartridge manufacturer and retailer. Canopy says it has never used phytol in any of its in-house products, but became both curious and concerned when officials noted the substance turning up in vape carts made by other manufacturers.
Until then, there was no data comparing the toxicity of inhaled phytol versus propylene glycol (PG). Propylene glycol is a commonly-used diluent in legally licensed cannabis vape cartridges. It’s used to thin cannabis oil and allow it to easily contact a vape device’s heating element, which vaporizes the mixture.
Canopy contracted with researchers in New Mexico, who gave lab rats a misted mixture of phytol and air, or propylene glycol and air, or just air. Researchers planned to run the experiment for 14 days, exposing the rats to phytol, or PG, for either 30 minutes or 1, 2, 4, or 6 hours.

But by day two, all the phytol rats had died or were suffering so badly—gasping, unresponsive—that lab scientists euthanized them. Directors halted the phytol arm of the trial. The PG rats finished their 14 days of exposure and all survived, with no lasting effects.
Among the findings from phytol-exposed rat autopsies:
- There was “acute toxicity in all dose groups.”
- Phytol caused “severely purple” lungs that were “hemorrhaging.”
- The rats’ nose, throat, and lung tissue had melted away in a process called necrosis.

The study results alarmed Kyle Boyar, head of KB Consultations. Boyar is also the vice-chair of cannabis chemistry for the American Chemical Society. “It’s pretty bad,” Boyar told Leafly. “It’s something we should be sounding the alarm on.”
Matthew Elmes is the director of scientific affairs at CannaCraft, a legal vape cartridge maker in California. He said phytol “appeared to have relatively high pulmonary toxicity. At the very least, based on these preclinical results, I think it certainly should not be considered for use as any sort of vape diluent!”
It’s important to make clear that Canopy Growth is not the villain in this story. By all accounts, Canopy officials practiced basic, responsible, and ethical drug development 101. And the scary fact is, that’s surprisingly rare in the cannabis industry.
What level of phytol inhalation is safe?
Nobody knows yet if any level of phytol inhalation is safe.
Experts generally agree there’s not enough research to conclude if the substance is safe to inhale in any amount. The Canopy report was the first to really detail the cutting agent’s potential harm to humans. Heavy users of vape pens in illicit markets—where exposure to heavily diluted vape carts is generally higher—are likely the most at risk of potential phytol lung damage.
The results were so alarming that in 2020, Canopy Growth immediately stopped selling all third-party vape cartridges containing phytol.
“For the safety of consumers, we do not believe [phytol] should be used in any vape products,” a Canopy Growth spokesperson told Leafly. “The findings of the study were clear that concentrated phytol resulted in adverse effects to the study animals.”
Is the Canopy study applicable to humans?
Experts say the amount of phytol the rats inhaled may not directly translate to vaping humans—but warrants real caution.
Imagine five vape carts, one-gram size, all completely filled with phytol. Now imagine that mixture misted into a one-meter cubic box, which is about the size of a large garage freezer chest. That’s the concentration of phytol these rats were getting.
But is that a little or a lot?
Marcu said it’s a typical concentration for an exploratory toxicology study. Menthol, for example, will kill 50% of rats exposed to a concentration of about 5,200 milligrams per cubic meter of air of it. Menthol has been added to tobacco cigarettes for decades. The US Food and Drug Administration (FDA) recently proposed a ban on all menthol cigarettes, but that ban was announced largely in terms of making tobacco smoking less attractive, and wasn’t so much about the harmful health effects of menthol itself.

Strongin said the phytol dosing in Canopy’s rat study looked “quite high” to compare to people vaping, but was “fairly typical” for this type of study.
True Terpenes is an Oregon-based company that sells aromas, flavors, and fragrances for a wide variety of commercial uses. The company includes phytol among its available products.
Shawna Vreeke, the lead safety chemist at True Terpenes, emailed Leafly about the Canopy study. She said the rats in the experiment were inhaling “orders of magnitude” more phytol than humans receive via a vape cartridge. Vreeke said it would be like hitting a vape 250 times in 30 minutes.
Jeffrey Raber is the founder of The Werc Shop, a Monrovia, CA-based company widely known for its innovative scientific work in the field of cannabis and terpenes. He holds the 2016 US patent for phytol in a vape cartridge mixture. Raber stated in an email to Leafly that he was familiar with the Canopy report. When asked about its applicability to humans, he said he thought the rat dosing was too high, and the vaporization temperature too low, to mimic the human inhalation of phytol in a vape cartridge mixture.

By contrast, both Heldreth and leading vape consultant Boyar said the data looked bad for people.
Again, all the rats in the propylene glycol wing, getting roughly the same potency of PG, survived.
“It’s like night and day,” said Boyar.
“They were giving rats tiny, tiny, tiny amounts,” said Heldreth “and [phytol] killed the rats so fast they stopped after two days.”

Raber stated in an email that the Canopy rat study is not comparable to a human vaping a limited mix of phytol. You don’t hotbox vape mist in a room for 30 minutes straight, let alone four or six hours a day.
Still, the data proved strong enough to make Canopy pull all phytol vapes in stock and notify Canadian health authorities.
Canopy described the lung harm as “dose-dependent,” meaning the more phytol the rats inhaled, the worse their lung swelled and bled.
In other words, a lower dose meant less hemorrhaging. But ask yourself: How much lung bleeding is an okay amount?

Are there any other studies on phytol?
Yes, but most are more than 20 years old.
Shawna Vreeke, the safety chemist at True Terpenes, cited three sources in defense of phytol safety:
- A 1992 study that investigated phytol’s effectiveness at waking up mice from a drug-induced sleep, not its potential toxicity.
- A 2010 study on burned phytol in tobacco, looking at how many cancer-causing PAHs (polycyclic aromatic hydrocarbons) were released.
- A query of GESTIS, a German database on hazardous substances, which mathematically estimated (but did not actually test) a “no-effect level” of 8.8 mg/mg3 for phytol.
All in all, that’s pretty thin data for human inhalation drug development.
Is it legal to put phytol in a cannabis vape cartridge?
Yes, it’s legal to put phytol in a cannabis vape cartridge in every legal adult-use state. It is also legal to add phytol to cannabis vape cartridges in states where cartridges are legal for medical cannabis patients.
Health Canada has not banned phytol in cannabis vape cartridges. But David Heldreth, the former True Terpenes chief science officer, said provincial review boards there won’t approve a formulation that contains it. “It’s shadow-banned,” he said.
If it’s illegal in Canada, why isn’t it banned in the United States?
Few American state regulators are even aware of the existence of phytol. Oregon law mandates full label disclosure of phytol (and all other ingredients) in a cannabis vape cartridge but does not demand that state labs specifically test for its presence. California law also mandates full disclosure of vape cartridge ingredients but does not specifically test for phytol.
The Canopy study is alarming, but at the end of the day, it is a single study with results untested and unconfirmed by any other research. It’s unclear whether the growing concern over phytol will cause US cannabis regulators and public health officials to act quickly or wait for further evidence.
Arnaud Dumas de Rauly, who chairs the International Organization for Standardization (ISO) committee on vapor products, was sanguine: “I strongly believe that phytol should be banned and tested for. I’m totally opposed to using phytol.”
Where are phytol-laced vape pens found?
In general, these types of diluents appear much more often in illicit markets because there are no disclosure requirements, no testing requirements, no proof of potency, and the manufacturer has no license to lose if they’re caught filling vape carts with toxic materials.
Major cannabis companies, which are licensed by individual states, generally don’t use phytol. Matthew Elmes told Leafly that CannaCraft, the major California product maker, doesn’t use any additives or cutting agents in its AbsoluteExtracts or Care By Design vape cartridge lines.
Nor does Platinum Vapes, said co-founder George Sadler. “I never heard of it,” he said.
In general, California state legal vape makers haven’t seen it around and suspect most legal manufacturers wouldn’t use it, Sadler said. THC testing is mandatory, and legal customers want high THC percentages in the 80s and 90s, not some weak phytol mixture that tests in the 70s or lower.

“I’d be surprised if it was in a legal product,” said Elmes.
The ISO’s de Rauly, who’s been in the vape industry since 2009, said, “I’ve never heard of anyone on the regulated and legal market using phytol.”
In Oregon, Portland State University chemistry professor Robert Strongin said he hasn’t seen a phytol-laced vape but knows they’re around. In 2020, Oregon regulators flagged it as a known vape cartridge ingredient with unstudied health risks.
“OLCC is keeping a very close eye on phytol,” said Mark Pettinger, communications director for the Oregon Liquor and Cannabis Commission. If more worrisome data emerges, the commission could ban it like squalene and vitamin E acetate.
How can I tell my vape has phytol in it?
Did you get it cheap in the illicit market? That’s a red flag.
Legal markets with testing are generally safer, said Heather Despres, director of the Patient Focused Certification (PFC) program at Americans for Safe Access.
Read your vape cart ingredient disclosures in legal states. Does it say anything vague about “natural” or artificial ingredients, or added terpenes? That’s another flag.
A large phytol-cut vape might burn your throat, lungs, and nose. It might have a grassy or icky chemical taste.

If you have wheezing, coughing, tightness in the chest, shortness of breath, or you keep losing weight while heavily using illicit THC vape carts, that’s a flag.
Synthetic phytol can be tasteless and colorless. “You might not realize the damage until it’s too late,” said Heldreth.
How do I avoid exposure to added phytol in a vape?
The number one thing experts agreed on: Shop only in licensed stores in legal states. Don’t buy from your guy who swears he got them from “a shop” in California.
Buying vape carts on the street is “the riskiest,” said Strongin. Illicit vape carts can expose your lungs to anything: Tide laundry detergent, synthetic cannabinoids, or THC oil diluted by 70%.
In legal states, ask your budtender questions like, “Can you show me a certificate of analysis for this cartridge?”
Ask manufacturers questions like, “Do you use additives? Which ones? Show me the safety data. What happens when you heat it up?”
Locate brands that advertise their products as “additive-free” and prove it with lab test results. Stay loyal to the good actors.
I thought vaping was healthier than smoking?
Vaping cannabis can be healthier than smoking cannabis because the lung issues with smoking come from the byproducts of leaf combustion, not the THC and other cannabinoids that get you high.
But if vaping is done wrong, it can cause acute harms not found in smoking. The risk depends on what you vape and how you vape it, versus what you smoke and how you smoke it.
We know tobacco smoking is so terrible, such a proven killer, that it’s hard to come up with a legal product that’s more dangerous, said chemist Robert Strongin. “I don’t know if you can make it riskier.”
With cannabis, we have thousands of years of marijuana use and longitudinal health data on cannabis smokers to gauge their risks. It’s far lower than tobacco—cannabis smoking has never been linked to lung cancer, for instance—but it’s not risk-free.

Dry herb flower vaping is probably the safest. That process gently toasts the flower and releases the plant’s resin; you burn nothing.
Vaping, because it involves a mix of oils in a sealed cartridge, comes with a higher risk because that mixture of oils may contain chemicals that are harmful to human lungs when vaporized and inhaled. We learned that the hard way in 2019 when vitamin E acetate killed more than 60 illicit market consumers and hospitalized hundreds of others.
The bottom line: Vaping can be a cleaner, healthier cannabis modality. But right now we’re in a period where inventors and vape cartridge makers are miles ahead of state health regulators. And the profit motive is a powerful one.
Robert Strongin put it this way: Vaping, in general, is safer than smoking. But it’s far more harmful when mystery additives like phytol are added to the mix. “We can make vaping more unsafe than smoking with this crazy stuff,” he said.
Sources for this report
- Canopy Corp inhalation study, 2020
- Inhalation Toxicology, Jan. 2021 issue
- Canopy Corp spokesperson; email interview, July 2021
- David Heldreth, CEO of Ziese Farms; phone interview, July 2021
- Kyle Boyar, founder, KB Consultations; cannabis chemistry committee vice-chair, American Chemical Society; phone interview, July 2021
- Dr. Robert Strongin, Portland State chemistry professor; phone interview, July 2021
- Mark Pettinger, OLCC Communications Director; emailed interview, July 2021
- Jahan Marcu, PhD, found partner, Marcu and Aurora; phone interview, July 2021
- Jeffrey C. Raber, PhD, founder, The Werc Shop; emailed interview, July 2021
- Dr. Shawna Vreeke, True Terpenes head of R&D; emailed interview, July 2021
- Matt Elmes, PhD, Director of Scientific Affairs, CannaCraft, CA; emailed interview, July 2021
- George Sadler, CEO, Platinum Vapes; phone interview, July 2021
- ‘Non-cannabis additives in inhalable cannabis products’; OLCC, 2020
- Heather Despres, M.Sc., Director of Patient Focused Certification, Americans for Safe Access; emailed interview, July 2021
- Dominic Black, lead account manager at Infinite Chemical Analysis Labs
- Arnaud Dumad de Rauly, chair, ISO vapor products committee, CEO, The Bling Group, July 2021
Further reading
Leafly’s award-winning vape safety investigation series:
- Illicit cannabis vape carts hospitalized 7 in California, doctors say (2019)
- Vape pen lung disease has insiders eyeing misuse of new additives (2019)
- Amid vape pen lung disease deaths: What exactly is vitamin E oil? (2019)
- Journey of a tainted vape cartridge: from China’s labs to your lungs (2019)
- California vape maker Kushy Punch caught making illegal products (2019)
- Tainted vape pens selling 2-for-1 in illegal California stores (2019)
- From ‘Veronica Mars’ to toxic vapes: The rise and fall of Honey Cut (2019)
- Vape pen lung injury: Here’s what you need to know (updated 2020)
- Leafly investigation: Vape lung injuries date back to 2007 (2020)
- VAPI anniversary: Killer chemicals still on the streets (2020)
- Tainted vapes recalled as Oregon regulators plan wider ban (2020)
- Leafly investigation: Lax THC vape rules still allow toxins into your lungs (2020)






